Відгуки
Facebook
Instagram
(067) 608-54-23
Про клінику
Услуги
Цены
Акции
Наши работы
Контакты
Робота нашого хірурга Нікіти Андрійовича
Read more
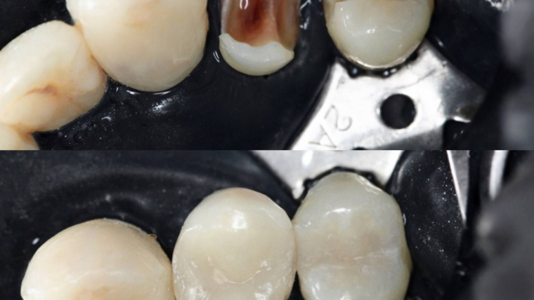
Робота нашого лікаря-терапевта Катерини Дмитрівни
Read more
Робота нашого лікаря-терапевта Оксани Вікторівни
Read more
Робота нашого лікаря-терапевта Ксенії Вʼячеславівни
Read more