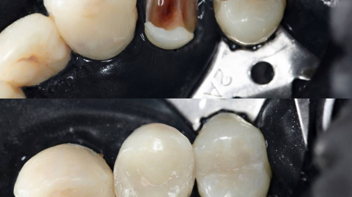
Робота нашого лікаря-терапевта Катерини Дмитрівни

Робота нашого лікаря-терапевта Катерини Дмитрівни

Контакти

Ми тут для того, щоб допомогти вам!
м. Одеса, проспект Князя Ярослава Мудрого, 11
+38 067 608-54-23
Пн-Пт: 9:00 - 17:00Сб: 9:00 - 15:00Нд: вихідний
livadent13@gmail.com
Facebook
Instagram

Livadent © 2026. Одеса.

Створення сайту – студія Елементарно!